





Interproximal reduction is the careful removal of some enamel between teeth. This is done to reduce the width of some teeth by up to ½ mm. Your teeth can then be straightened much easier.
We will have a chat with you to determine what TrioClear® treatment is right for you. You will be included in every decision.
We will take 3D scans of your upper & lower jaw which provide the required information for the manufacture of the aligners.
Your aligners will be digitally fabricated in a specialist dental laboratory. These are precise and fully tailor-made to fit you.
We will regularly check your TrioClear® treatment progress to ensure an optimal result is achieved.
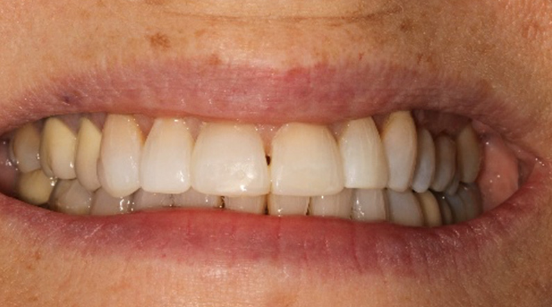
The innovative TrioClearTM aligner offers many varying treatment options. TrioClearTM is suitable for the treatment of patients who would like a minor to moderate repositioning of the teeth, such as in the following situations:
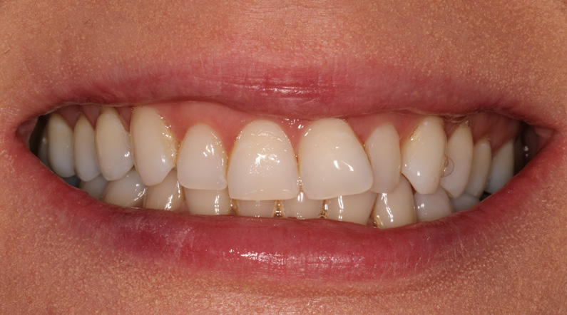
The treatment achieves an optimal and precise result in a short period of time.
This type of therapy is generally less expensive than other aligner systems.
The 3-step solution means switching to fresh aligners more often which promotes better hygiene. TrioClearTM aligners are also easy to remove and clean.
The aligner is easily and quickly removed and placed back in the mouth whenever you please (i.e. when eating or cleaning). Your aligners can be kept safe in the included storage case when not being used.
You can talk, smile and laugh without worry.
The aligner is pleasantly smooth, without brackets or metal wires.